Why Is My Child’s Adult Molar Not Coming In?

Understanding Impacted 1st and 2nd Molars

It can be concerning as a parent when an adult tooth doesn’t come in as expected. If your child’s adult molar is not erupting, it may be related to tooth resorption, ankylosis, ectopic eruption, or primary failure of eruption (PFE).

As a paediatric specialist dentist, I often evaluate children with delayed tooth eruption, impacted molars, or failed eruption of permanent teeth. 

What Does This Mean?

Permanent molars usually erupt around ages 6–7 (first molars) and 11–13 (second molars).

If a molar is not coming in, it may be:

  • Impacted (blocked under the gum or bone)

  • Fused to the bone (ankylosed)

  • Breaking down at the root  (root resorption)

  • Growing in the wrong position (ectopic eruption)

  • Missing 

How Does Resorption Prevent an Adult Molar from Erupting?

Sometimes, the body mistakenly begins dissolving part of the tooth root. When that happens, the tooth may lose its ability to erupt normally. The outside or inside of the tooth starts dissolving or gets replaced by the surrounding bone.

This can happen because of:

  • Pressure from another tooth

  • Infection

  • Injury

  • Cysts or growths

  • Sometimes for reasons we don’t fully understand

If enough of the root structure is damaged, the tooth may:

  • Get “stuck” under the gum 

  • Lose the strength needed to push through

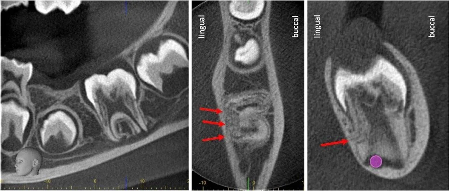
Advanced imaging (CBCT) showing extensive resorption (arrows)

Resorption happens when the body begins to break down part of a tooth or its root structure.

In simple terms:

The tooth can’t come in because part of it is being broken down, or the pathway it needs to follow is disrupted.

What Are the Treatment Options?

Management depends on:

  • The child’s age

  • Stage of root development

  • Severity of resorption

  • Presence of ankylosis or pathology

Treatment may include:

  • Monitoring with periodic radiographs

  • Surgical exposure of the impacted molar

  • Orthodontic eruption assistance

  • Extraction if the tooth is non-restorable or severely resorbed

  • Space management planning

Early intervention often leads to better long-term outcomes and can prevent more complex bite problems or adjacent tooth/ nerve damage.

Why Early Evaluation Matters

While the word resorption sounds alarming, many eruption disturbances can be managed successfully when identified early. Early diagnosis by a paediatric dental specialist is important. With proper imaging and evaluation, we can determine whether monitoring, surgical exposure, orthodontic assistance, or extraction is the best course of action.

Previous
Previous

Paediatric Zirconia Dental Crowns: Aesthetic “White Crowns” for Children

Next
Next

Nitrous Oxide Sedation in Paediatric Dentistry: Relaxation, Analgesia, and Safety